Here are facts to examine the DentiMax vs. Dexis head-to-head. Choosing the right sensor for your practice can be time-consuming and frustrating. It is crucial to compare sensors and ensure your sensor has features that integrate well into your practice. What makes the DentiMax Dream Sensor better than other sensors on the market? Here are just a few advantages of the Dream Sensor compared to leading brands.
DentiMax vs. Dexis by the Numbers
Price
With a retail price of $6,999, the Dream Sensor is one of the most affordable sensors on the market without sacrificing quality.
Compare with:
Dexis: Size 1.5 for 10,995
Thickness
A pleasant experience for patients ensures they keep coming back for treatment. We designed The Dream Sensor to fit comfortably in the patient’s mouth with rounded edges. Additionally, it has the thinnest CMOS on the market at 5.3mm.
Compare with:
Dexis: 8.8mm
Manufacturer Warranty
A manufacturer warranty protects you and your patients against defects in the sensor. The Dream Sensor includes a three-year manufacturer warranty, ensuring everything works properly.
Compare with:
Dexis: One-year manufacturer warranty included
Sensor Replacement Plan
Accidents happen, so why not plan for them? DentiMax provides a five-year accidental protection plan with your purchase of a Dream Sensor.
Compare with:
Dexis: $1,295/year after the first year
Support
DentiMax ensures you have the support you need to continue using the sensors. We offer a free, one-year subscription and an optional $49/month plan after that.
Compare with:
Dexis: Free for one year with optional $107.91 afterward
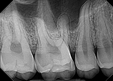
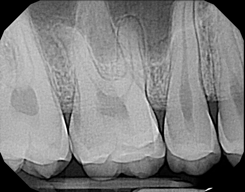
Image Quality
Ultimately, quality is the most important factor in a dental X-ray sensor. A sharp image ensures a proper diagnosis for patients. The Dream Sensor produces easy-to-view, crisp images that work with almost any existing dental software. The results of the direct comparison of DentiMax vs. Dexis are clear.
![]() X-ray taken with the DentiMax sensor shown in Sidexis 4™ software | ![]() X-ray taken with the Dexis™ sensor |
Interested in trying our sensor? We will ship you a DentiMax Dream Sensor for free. After 14 days, you can let us know if you are ready to purchase. Visit our Try Before You Buy page to request a sensor today. For a full breakdown of the Dream Sensor. For a grid comparison of DentiMax vs. Dexis and other brands, check out our sensor comparison chart. Check out the review in Dental Product Shopper.
Dexis™ is a trademark of Dental Imaging Technologies Corporation. DentiMax® is not affiliated with Dental Imaging Technologies Corporation. This post gathered Dexis™ product information for comparison information from Kavo.com on October 29th, 2020, and from correspondence (phone calls, emails, quotes) with Dexis™ Digital Technology Specialists.








