Comparison Chart
See DentiMax in a dental X-ray sensor comparison with the Dexis™, Schick®, and Carestream®. Compare dental sensor cost, warranty, thickness, active image area, and X-ray images.
![]() |
![]() |
![]() |
![]() |
![]() |
![]() |
![]() |
| Name | DentiMax Pro Sensor | Dream Sensor | Open Sensor | Dexis™ | Schick® | Carestream® |
|---|---|---|---|---|---|---|
| Price | Size 1.5: $7,999 retail |
Size 2: $6,999 retail |
Size 2: $2,999 retail |
Size 1.5: $10,999 retail |
Size 2: $7,995 retail |
Size 2: $5,999 retail |
| Thickness | 8.3 mm | 5.3 mm | 5.0 mm | 8.8 mm | 7.0 mm | 7.3 mm |
| Manufacturer Warranty | 3-Year Manufacturer Warranty Included | 3-Year Manufacturer Warranty Included | 3-Year Manufacturer Warranty Included | 1-Year Manufacturer Warranty Included | 2-Year Manufacturer Warranty Included** | 3-Year Manufacturer Warranty Included |
| Accidental Replacement Plan | Accidental Protection Plan Included† | Accidental Protection Plan Included† | Accidental Protection Plan Included† | No | No | No |
| Replacement Sensors | Brand New | Brand New | Brand New | May Be Refurbished | May Be Refurbished | Brand New |
| Cable Repair | $999 - Repairable Cable | $999 - Repairable Cable | $999 for Sizes 1.5 and 2 $749 for Sizes 1 and 0 |
Not Repairable | Sensor Comes with 1 Replacement Cable Approx. $800 per Additional Cable Replacement |
Not Repairable |
| Active Imaging Area | 852 mm² 74% of Sensor |
900 mm² 68% of Sensor |
879 mm² 63% of Sensor |
852 mm² 74% of Sensor |
910 mm² 68% of Sensor |
930 mm² 66% of Sensor |
| Support Details | Free 1-Year Then $99/Month (Optional) | Free 1-Year Then $99/Month (Optional) |
Free 1-Year Then $99/Month (Optional) |
Free 1-Year Then $107.91/Month (Optional)* |
$115/Month (Optional)*** |
Free 1-Year Then $49.99/Month (Optional) |
| Evaluation | Review Pending |
![]() Read Full Review |
Read Full Review at Clinician's Report |
![]() |
![]() Read Full Review |
Review Not Found |
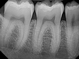
| X-Ray Example |
X-ray taken with the Pro Sensor |
![]() X-ray taken with the Dream Sensor |
![]() X-ray taken with the Open Sensor |
![]() X-ray taken with the Dexis Sensor |
![]() X-ray taken with the Schick 33 Sensor |
![]() X-ray taken with the Carestream Sensor |
Dexis™ is a trademark of Dental Imaging Technologies Corporation. DentiMax® is not affiliated with Dental Imaging Technologies Corporation. Dexis™ product Information was gathered from Kavo.com on 10/29/2020 , and from correspondence (phone calls, emails, quotes) with Dexis™ Digital Technology Specialists.
Schick® and Patterson® are trademarks of Patterson Companies. Inc. DentiMax® is not affiliated with Patterson Companies, Inc. Schick® product information was gathered from PattersonDental.com on 2/25/2021, and from correspondence (phone calls, emails, quotes) with Patterson® Dental Specialists.
Caresteam® is a trademark of Carestream Dental LLC. DentiMax® is not affiliated with Carestream Dental LLC. Carestream® product information was gathered from carestreamdental.com on 8/11/2023, and from correspondence (phone calls, emails, quotes) with Carestream® Dental Specialists.
*Under the Core Care Plan Package
**Optional 3rd year warranty if purchaser carries the $115/month service club contract for the entire three years from date of sensor purchase.
***Eaglesoft® and Patterson Imaging Service Club members who own Schick and utilize EagleSoft's Advanced Imaging module or Patterson Imaging Software to acquire images from their Schick equipment are automatically provided membership in the PTC Schick Service Club.
† Protection Plan covers anything outside of a manufacturer warranty (except theft). Simply return your broken Pro Sensor and pay $2,325 in years 1-3 or $3,325 in years 4-5. For the Dream Sensor, pay $1,999 in years 1-3 or $2,999 in years 4-5. For the Open Sensor, pay $1,499 in years 1-3 or $1,999 in years 4-5. You will never pay full price for a sensor you already purchased ever again.
Sensor images and X-rays for the purposes of dental X-ray sensor comparison were produced by DentiMax.
Dental X-Ray Sensor Comparison Chart
See DentiMax in a dental X-ray sensor comparison with the Dexis™, Schick®, andCarestream®. Compare dental sensor cost, warranty, thickness, active image area, and X-ray images.
Price

Size 1.5: $7,999 retail

Size 2: $6,999 retail

Size 2: $2,999 retail

Size 1.5: $10,999 retail

Size 2: $7,995 retail

Size 2: $5,999 retail
Thickness

8.3 mm

5.3 mm

5.0 mm

8.8 mm

7.0 mm

7.3 mm
Manufacturer Warranty

3-Year Manufacturer Warranty Included

3-Year Manufacturer Warranty Included

3-Year Manufacturer Warranty Included

1-Year Manufacturer Warranty Included
DexCare: $1,295/year After First Year
2-Year Manufacturer Warranty Included
PTC Schick Service Club: $1,380/year**
3-Year Manufacturer Warranty Included
Carestream 5-Year Advantage Plan $999†
Accidental Replacement Plan

Accidental Protection Plan Included†

Accidental Protection Plan Included†

Accidental Protection Plan Included†

No

No

No
Replacement Sensors

Brand New

Brand New

Brand New

May Be Refurbished

May Be Refurbished

Brand New
Cable Repair

$999 – Repair Cable

$999 – Repair Cable

$999 for Sizes 1.5 and 2
$749 for Sizes 0 and 1
Not Repairable

Sensor Comes with 1 Replacement
Additional Cables Approx. $800
Not Repairable
Active Imaging Area

870 mm²
~74% of Sensor
900 mm²
~68% of Sensor
879 mm²
~63% of Sensor
852 mm²
~74% of Sensor
910 mm²
~68% of Sensor
930 mm²
~66% of Sensor
Support Details

Free 1-Year
Then $99/Month
(Optional)
Free 1-Year
Then $99/Month
(Optional)
Free 1-Year
Then $99/Month
(Optional)
Free 1-Year
Then $107.91/Month
(Optional)*
$115/Month
Optional***

Free 1-Year
Then $49.99/Month
(Optional)
Evaluation
DentiMax
Dexis
Schick
Dental X-Ray Comparison
DentiMax
X-ray taken with the DentiMax sensorOpen Sensor
X-ray taken with the Caresream® sensorDexis
X-ray taken with the Dexis™ sensorSchick
X-ray taken with the Schick® 33 sensorCarestream
X-ray taken with the Caresream® sensor
Dexis™ is a trademark of Dental Imaging Technologies Corporation. DentiMax® is not affiliated with Dental Imaging Technologies Corporation. Dexis™ product Information was gathered from Kavo.com on 10/29/2020 , and from correspondence (phone calls, emails, quotes) with Dexis™ Digital Technology Specialists.
Schick® and Patterson® are trademarks of Patterson Companies. Inc. DentiMax® is not affiliated with Patterson Companies, Inc. Schick® product information was gathered from PattersonDental.com on 2/25/2021, and from correspondence (phone calls, emails, quotes) with Patterson® Dental Specialists.
Caresteam® is a trademark of Carestream Dental LLC. DentiMax® is not affiliated with Carestream Dental LLC. Carestream® product information was gathered from carestreamdental.com on 8/11/2023, and from correspondence (phone calls, emails, quotes) with Carestream® Dental Specialists.
*Under the Core Care Plan Package
**Optional 3rd year warranty if purchaser carries the $115/month service club contract for the entire three years from date of sensor purchase.
***Eaglesoft® and Patterson Imaging Service Club members who own Schick and utilize EagleSoft's Advanced Imaging module or Patterson Imaging Software to acquire images from their Schick equipment are automatically provided membership in the PTC Schick Service Club.
† Protection Plan covers anything outside of a manufacturer warranty (except theft). Simply return your broken Dream Sensor and pay $1,999 in years 1-3 or $2,999 in years 4-5. For the Pro Sensor, pay $2,325 in years 1-3 or $3,325 in years 4-5. For the Open Sensor, pay $1,499 in years 1-3 or $1,999 in years 4-5. You will never pay full price for a sensor you already purchased ever again.
Sensor images and X-rays for the purposes of dental X-ray sensor comparison were produced by DentiMax.
Request Info >

























